How to implement AI-powered coronary plaque analysis software—and ensure you get paid
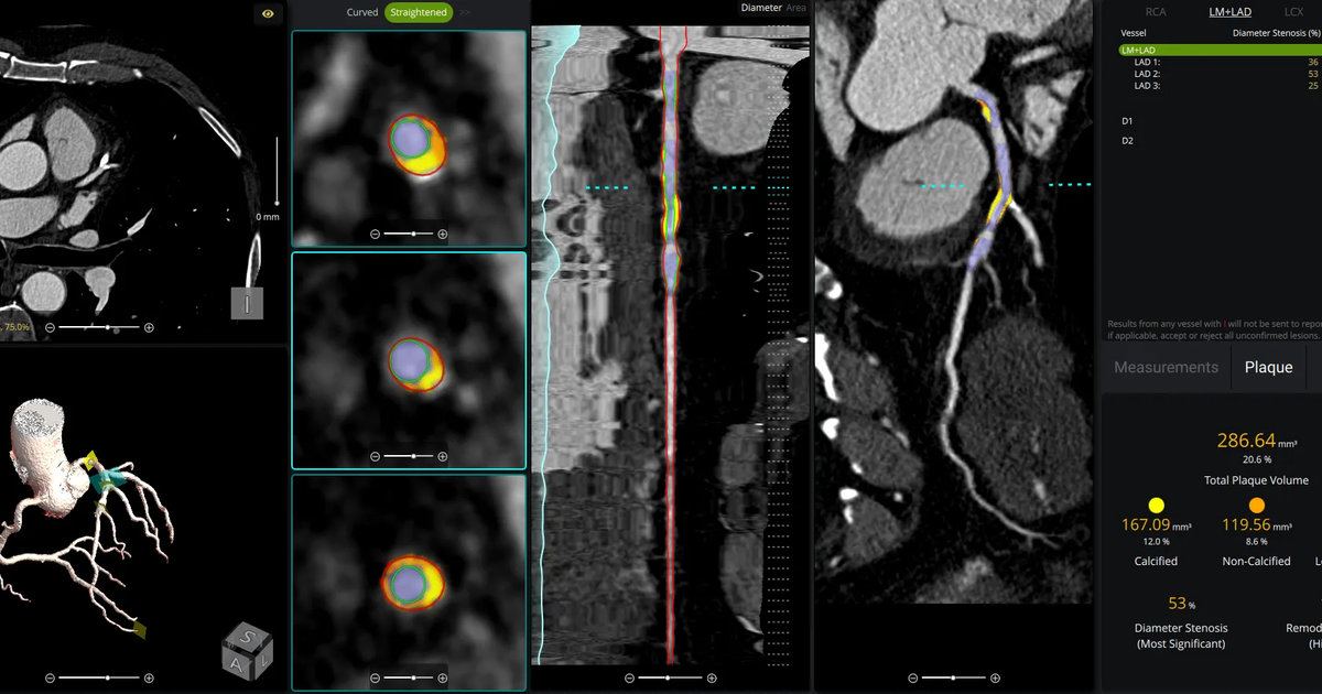
The use of AI to evaluate plaque buildup in CCTA images has been one of cardiology’s biggest ongoing trends. Implementing this software into existing workflows, however, can be a challenge. An upcoming webinar is focused on providing guidance to hospitals and cardiology practices hoping to learn more about this topic.

What's Your Reaction?











